SurgiguideX

Immediate Implants #42 #32 with Fixed Restoration

Surgeon: Dr Souad Bellaaj | Patient: N/A

Arch: Mandibular | Number of Implants: 2

Guide Type: Tooth-Supported Guide

Slide 0 of 8

Surgical Guide Demo

3D Animation Preview

Case Summary

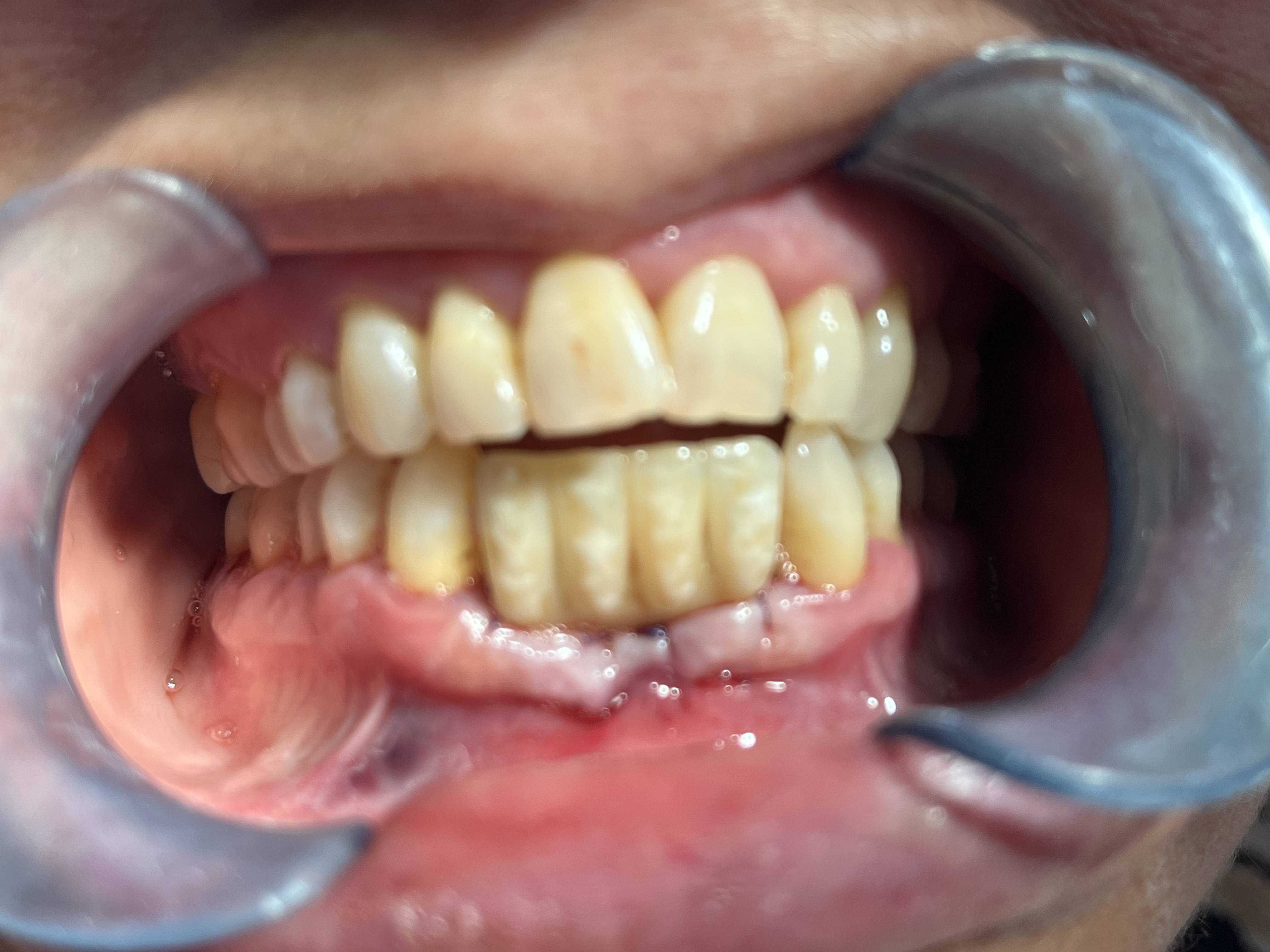
Presenting Condition

Non-vital mandibular incisor teeth (#31, #32, #41, #42) exhibit advanced pathology necessitating atraumatic extraction, followed by immediate placement of two endosseous dental implants.

Treatment

Atraumatic extraction of the four compromised mandibular incisors, concurrent with immediate implantation of two osseointegrated fixtures, augmented by provisional fixed prosthetic restoration to ensure esthetic and functional rehabilitation